
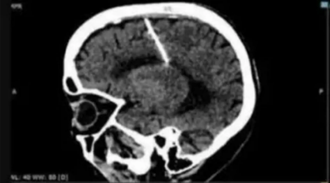
La sorprendente historia de una mujer rusa de 80 años que ha vivido la mayor parte de su vida con una aguja de tres centímetros en su cerebro, sin experimentar molestias ni dolor, ha asombrado al mundo y en las noticias te revelamos todos los detalles de este increíble hallazgo médico.
Este descubrimiento fue revelado por especialistas del Ministerio de Sanidad de Sajalín a través de imágenes obtenidas mediante tomografías.
Aparentemente, esta situación se remonta a prácticas culturales donde, al nacer, a los bebés se les introducía agujas en la cabeza, afectando el cerebro de forma inadvertida.
El Ministerio de Sanidad de Sajalín revela que la aguja pudo haber sido introducida por sus propios padres poco después de su nacimiento, una práctica común en Rusia durante épocas de guerra y hambruna.
¿Por qué las familias recurrían a esta práctica y cuál es el trasfondo histórico? En las épocas de guerra y hambruna, algunos padres no podían hacerse cargo de sus hijos, por lo que le introducían una aguja en la cabeza a los bebés dañando el cerebro y debido a que el hueso del cráneo se va cerrando gradualmente, no solía haber ninguna prueba sobre el asesinato de los pequeños.
Después que los médicos de Sajalín realizaron tomografías, que revelaron la presencia de la aguja en el cerebro de la anciana, optaron por no intervenir debido a la avanzada edad de la paciente, evitando posibles complicaciones mayores.
Cabe indicar que aunque resulta desconcertante cómo pudo sobrevivir la mujer de Rusia durante décadas con este Twitter para mantenerte informado con las noticias de hoy!.
Síguenos en Facebook y entérate de las noticias trend de la semana
No hay comentarios.:
Publicar un comentario