
¿Quién no ha escuchado o dicho alguna vez: “mi hijo se ha tragado un chicle y no sé qué hacer”?, pues esta historia se trata de un niño de cinco años que tuvo que ser operado de emergencia, en Ohio, Estados Unidos, luego de tragar casi 40 piezas de sin azúcar.
Se trata de un caso en donde el menor quedó sin inspección adulta y tomó un bote que contenía 40 chicles, así que se le hizo fácil y empezó a meterlo a su boca para luego tragarlos.
Despuñes de eso, el niño empezó a sufrir calambres y diarrea debido a que la goma de mascar se acumuló en su estómago y obstruyó su sistema digestivo.
Los doctores le realizaron una cirugía para poder sacar la bola de chicle por la garganta del pequeño.
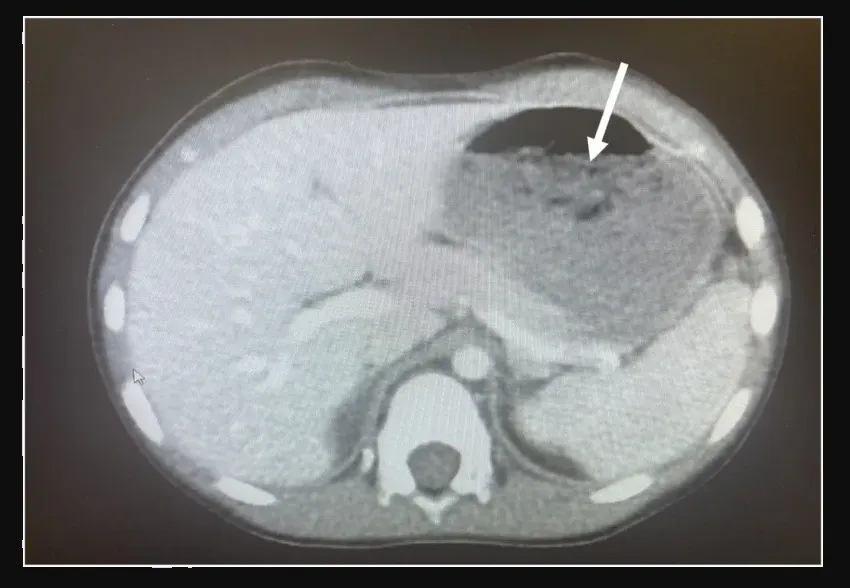
En el hospital, los estudios revelaron que el niño tenía una gran masa, médicamente denominada bezoar, atrapada en el estómago y que ocupaba alrededor del 25% del espacio.
Los doctores decidieron sacar la bola dechicle por la garganta a través de una esofagoscopia mediante múltiples “pasadas”, lo que originó que el niño se quejara de dolor de garganta pero no pasó a mayor problema.
De acuerdo medios locales, el menor de edad fue dado de alta sin mayor riesgo.
Si bien es cierto que los chicles están compuestos de goma (elastómeros, plastificantes y resinas), saborizantes, aceites y endulzantes, también lo es que resisten los ácidos estomacales y, por ende, no pueden disolverse.
Pero aun así, el mismo organismo es capaz de expulsarlos sin problema.
El chicle seguirá el mismo proceso que cualquier otro alimento dentro del tracto digestivo y resultará casi imposible que se quede pegado dentro del organismo o a las paredes del estómago.
De esta manera, la golosina no permanecerá en el estómago del niño por siempre, pues, como el resto de las comidas terminará convirtiéndose en materia fecal.
¡Síguenos en Twitter para mantenerte informado con las noticias de hoy!Síguenos en nuestra cuenta de Instagram.
Síguenos en Facebook y entérate de las noticias trend de la semana
No hay comentarios.:
Publicar un comentario